
主動脈剝離診斷
主動脈剝離的診斷通常需要透過超音波心動圖、計算機斷層掃描血管造影術、磁共振動脈造影和核素標記劑掃描來確認。這些檢查可以幫助醫生確定剝離的位置、範圍以及是否伴有併發症。
超音波心動圖
超音波心動圖是一種無創性心臟影像學檢查方法,利用聲波反射成像原理對心臟結構及血流狀態進行評估。該技術可以清晰地顯示主動脈壁及其內部情況,有助於發現是否存在剝離現象。
計算機斷層掃描血管造影術
CTA是透過注射含碘顯影劑後拍攝多層面影象以觀察血管分佈狀況的一種影像學檢查手段。對於主動脈剝離而言,CTA能夠提供詳細的解剖資訊,並幫助識別可能存在的異常如假腔或內膜撕裂等。
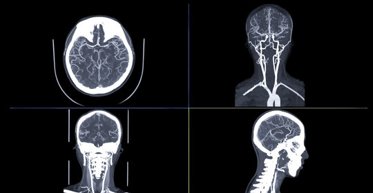
MRI血管造影
MRI血管造影結合了MRI成像技術和顯影劑使用,在非侵入式條件下顯示出全身大血管系統全貌。它特別適用於評估複雜病變如長段主動脈瘤或分支處狹窄/擴張等情況。
核素標記劑掃描
核素標記物示蹤研究涉及口服或靜脈注射帶有放射性的化學物質然後監測其在體內的運動軌跡以獲得目標器官功能狀態資訊。這種技術可用於探測體內潛在出血源並輔助管理危及生命的大血管傷害風險。
上述檢測結果應由專業醫師解讀分析以確保準確性與安全性。患者在接受任何影像學檢查前需告知醫務人員是否有相關禁忌證以免造成不必要的傷害。
慢性主動脈剝離診斷
慢性主動脈剝離的診斷需透過影像學檢查進行評估。患者可遵醫囑接受超音波心動圖、計算機斷層掃描血管造影術、磁共振成像、正電子發射體層攝影或數字減影血管造影等技術以明確診斷。
超音波心動圖
超音波心動圖是一種無創性心臟檢查方法,利用聲波反射來顯示心臟結構和血流情況。該裝置發出高頻聲波,經過人體後被組織吸收並返回至探頭,再由電腦處理形成影象。醫生會將探頭輕柔地放置於胸部上方,讓患者深呼吸數次以觀察不同切面下的心臟動態變化。
計算機斷層掃描血管造影術
CTA是採用高壓注射器快速注入含碘顯影劑後再行CT掃描的方法,在X光照射下獲取受檢部位的二維投影資料,並重建得到各種橫截面影象。患者仰臥於檢查床上,根據指示調整姿勢以便更好地對目標區域進行成像。
MRI
MRI使用強大的磁場和無線電波生成詳細的內部器官影象。在預約時間到達時躺入專用床位上,並按照技術人員指導完成整個過程。由於存在金屬植入物或其他限制因素而無法進入強磁場環境者不宜接受此項檢查。
正電子發射體層掃描器PET
PET結合了靜脈注射放射性示蹤劑所標記出代謝活躍區域與高分辨率斷層顯像技術。通常需要提前禁食至少6小時以上,並按處方服用相應藥物準備身體狀態;此外還需注意告知醫務人員任何可能影響結果準確性的情況如近期手術史等。
DSA
DSA是在X光透視監視下將特製導管送至可疑病變處注入含碘顯影劑並對區域性血管結構進行詳細分析的一種微創介入技術。操作過程中需遵循嚴格無菌原則以防感染發生,並密切監測患者生命體徵及可能出現過敏反應等情況。
對於慢性主動脈剝離的診斷,應避免劇烈運動,以免加重病情。同時,建議定期複查,以便及時發現病情變化。

#部分藥物尚未在所有地區上市,僅供參考#
#網站專稿,未經書面授權請勿轉載#